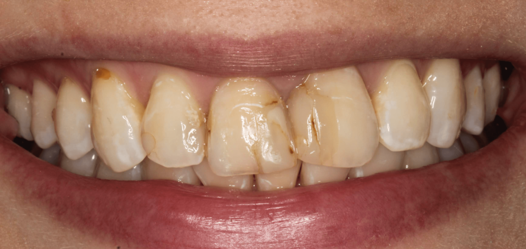
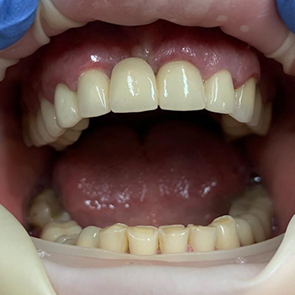
На сегодняшний день имплантация – лучший способ восстановления зубов, но если из-за физиологических или материальных ограничений нет возможности установить имплант, мы предлагаем современное съемное протезирование: бюгельное протезирование и ацетал-протезы.
Бюгельное протезирование
Бюгельный протез это съемный зубной протез на металлической основе. Металлический литой каркас крепится на зубы и перегружает их, за счет чего они быстрее портятся. Это рабочий метод, который можно применять в некоторых случаях, но своим пациентам мы рекомендуем использовать ацеталь, вместо бюгельных протезов.
Имплантанты
Вживление искусственного корня в челюстную кость, на которую со временем устанавливают коронку. Имплантат – опора для съемных и несъемных зубных протезов. Мы используем качественные и надежные имплантаты лучших фирм. Изготовлены они из медицинских металлов: титана и циркония. Благодаря чему вероятность отторжения сводится к минимуму, а комфорт и функциональность — максимальны.
